Cercetătorii de la Universitatea din Michigan au identificat metabolitul itaconat ca țintă terapeutică potențială pentru ependimoamele ZFTA–RELA+, un tip rar de tumoră cerebrală pediatrică. Conform unui studiu publicat în revista “Nature”, echipa a demonstrat modul în care celulele tumorale produc metabolitul itaconat pentru a susține proteina de fuziune ZFTA–RELA, care contribuie la promovarea creșterii tumorale.
„A fost surprinzător să descoperim că o tumoră cerebrală produce un metabolit care este de obicei sintetizat de celulele imune”, a declarat autorul principal, Siva Kumar Natarajan, PhD, cercetător postdoctoral în laboratorul Venneti din cadrul Universității din Michigan. „Am dorit să înțelegem ce rol are itaconatul în aceste tumori.”
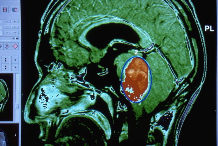
Ependimoamele sunt tumori care se dezvoltă în creier sau măduva spinării și reprezintă al treilea cel mai comun tip de tumoră cerebrală la copii. Acestea afectează aproximativ 250 de copii în Statele Unite anual, fiind cel mai frecvent diagnosticate la copii cu vârsta de opt ani sau mai mici. Tratamentele principale pentru aceste tumori includ îndepărtarea chirurgicală a tumorii, urmată de radioterapie și chimioterapie, deși chimioterapia nu a demonstrat o eficacitate constantă. În prezent, nu există terapii țintite sau studii clinice care să vizeze ependimomele conduse de ZFTA.
Cercetătorii au observat că nici ZFTA, nici RELA, în mod individual, nu sunt oncogenice, dar împreună, fuziunea ZFTA–RELA s-a dovedit a fi un oncogen puternic, capabil să transforme celulele atât in vitro, cât și in vivo. În cadrul acestui studiu, echipa din Michigan a început prin a înțelege că reprogramarea metabolică este o caracteristică comună a dezvoltării cancerului și că anumiți metaboliti pot stimula tumorigeneza prin alterarea reglării epigenetice. Pentru a explora dacă ZFTA–RELA remodelază căile metabolice-epigenetice, cercetătorii au analizat mostre de tumori ependimomale umane, celule derivate de la pacienți și modele animale. Folosind linii celulare de la șoareci și pacienți, precum și modele in vivo, au identificat producția de itaconat în celulele tumorale ZFTA–RELA+.
Mecanistic, investigatorii au descoperit că itaconatul activează epigenetic transcripția ZFTA–RELA prin îmbogățirea markerilor activatori H3K4me3, prin inhibarea demetilazei H3K4 KDM5. Tumorile au, de asemenea, îmbunătățit metabolismul glutaminei pentru a furniza carbon pentru sinteza itaconatului. Mai important, cercetătorii au constatat că, în modelele de șoareci ale tumorilor, prevenirea producției de itaconat de către ACOD1 a redus creșterea tumorii. Inhibarea acestui circuit de feedback a scăzut nivelurile ZFTA–RELA și a dus la diminuarea tumorii.
„Descoperirile noastre au și relevanță translatională, deoarece inhibarea semnalizării PI3K și a metabolismului glutaminei a condus la efecte terapeutice în multiple modele de fuziune ZFTA”, au scris cercetătorii.
Echipa U of M a subliniat că cercetările anterioare au stabilit că ZFTA–RELA este suficient pentru a stimula formarea tumorii, dar nu au identificat modalități prin care acesta poate fi abordat pentru a reduce promovarea creșterii tumorale.
„Acesta este primul studiu care arată că fuziunea ZFTA-RELA poate fi țintită în acest tip de tumoră”, a spus autorul principal, Sriram Venneti.
Sursa: Inside Precision Medicine
Poll: Care este cel mai potrivit mod de a aborda ependimoamele ZFTA-RELA+?



























Leave a Reply