Un bărbat a ajuns la spital prezentând simptome alarmante: vărsături, slăbiciune, insuficiență renală și un nivel extrem de ridicat al calciului în sânge. Cauza acestor simptome neobișnuite era legată de o substanță pe care o injectase în mușchii pieptului și ai brațelor cu ani în urmă.
Simptomele: Bărbatul s-a prezentat la spital după ce a suferit de vărsături timp de două zile. De asemenea, în ultimul an, a dezvoltat slăbiciune și a pierdut 18 kilograme fără să încerce.
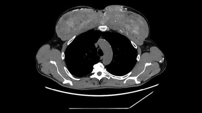
Ce s-a întâmplat apoi: Analizele de sânge au arătat că bărbatul avea niveluri crescute de creatină și uree, indicând că rinichii săi erau în faliment. Nivelurile de calciu din sânge erau, de asemenea, periculos de înalte. Scanările CT au relevat depozite de calciu în rinichi, pancreas și stomac, precum și zone cicatriceale în partea din spate și inferioară a plămânilor. Aceste scanări au arătat și schimbări neobișnuite în mușchii pieptului; aceștia păreau dens calcificați.
Medicii l-au tratat pe pacient cu un diuretic pentru a ajuta la eliminarea excesului de calciu, precum și fluide intravenoase, un steroid și un medicament pentru scăderea calciului. Nivelurile de calciu ale pacientului au scăzut temporar, iar el a fost externat cu câteva rețete. Totuși, trei săptămâni mai târziu, în timpul unui control de urmărire, medicii au descoperit că nivelurile de calciu din sângele său crescuseră din nou, fiind necesară internarea sa în secția de nefrologie.
Bărbatul era în general stabil, dar un examen fizic a evidențiat schimbări notabile în mușchii săi pectorali și ai brațului superior, corespunzând neregularităților observate în scanări. Medicii au reevaluat istoricul medical al pacientului, iar acesta a împărtășit un detaliu crucial: începând cu aproximativ 30 de ani în urmă, a început să primească “injecții intramusculare necunoscute (probabil conținând testosteron)” în mușchii pectorali și ai brațului superior pentru a-i mări.
Diagnosticul: Sub microscop, mușchiul era umplut cu o substanță asemănătoare cu siliconul, pe bază de ulei, și înconjurat de depozite dense de calciu. Echipa a dedus că injecțiile musculare anterioare ale bărbatului conțineau probabil synthol, o substanță compusă în principal din ulei, care “umflă” vizual mușchii, umflându-i efectiv ca niște baloane cu apă.
În acest caz, syntholul a declanșat o reacție persistentă la corpul străin – corpul răspunzând esențial la materialul pe care nu-l putea descompune. În timp, această reacție a produs cicatrizare și calcificare, stocând cantități mari de calciu.
Poll: Care ar trebui să fie sancţiunea pentru persoanele care utilizează ilegal substanțe precum synthol pentru a-și mări mușchii?






























Leave a Reply