Învierea Neanderthalilor în Următorii 20 de Ani — O Idee Bună...
Când vine vorba de tehnologia actuală, readucerea la viață a neanderthalilor nu este posibilă. Dar, chiar dacă progresele viitoare ne-ar permite acest lucru, ar...
ADN-ul dezvăluie cauzele morții soldaților lui Napoleon în timpul retragerii dezastruoase...
O descoperire recentă într-un mormânt comun din Lituania, unde sunt îngropați soldații armatei franceze a lui Napoleon Bonaparte, scoate la lumină unele dintre bolile...
Cascada Flacăra Veșnică din New York: Un spectacol natural unde focul...
Cascada Flacăra Veșnică, situată în Parcul Chestnut Ridge din comitatul Erie, New York, este un fenomen natural rar, unde focul arde continuu, ascuns într-o...
Descoperire Uimitoare în Sistemul Solar: Obiectul Chiron își Formează Inele Proprii...
Într-un univers unde schimbările se petrec de-a lungul eonurilor, o echipă de astronomi din Brazilia a avut oportunitatea rară de a asista în timp...
Imagini Spectaculoase cu Cometa Interstelară 3I/ATLAS: Jet Gigantic Direcționat spre Soare...
Noi imagini capturate de telescoape arată că cometa interstelară 3I/ATLAS emite un jet impresionant de gaz și praf către Soare. Aceasta este o comportare...
Testul Fructelor și Legumelor: Cunoști originile dovleceilor, afinelor și broccoliului? 3.5...
Știi de unde provin fructele și legumele pe care le consumi frecvent? Participă la quizul Live Science pentru a descoperi.
Când cumperi prin linkurile de...
Fosile Rare din New Mexico Dezvăluie că Dinozaurii Prosperau Înainte de...
O descoperire recentă în New Mexico ne arată că ultimii dinozauri ai erei Cretacicului se aflau într-o stare de sănătate bună, erau diversificați și...
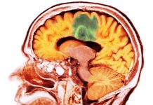
Cinci tipuri de somn identificate de cercetători pot indica probleme de...
Cercetătorii au definit cinci profiluri distincte de somn, fiecare corelat cu anumite semnături cerebrale și comportamente specifice. Această clasificare nouă aduce o perspectivă mai...
Atacurile Șerpilor Velenoși, Capturate în Detalii Uimitoare cu Ajutorul Videoclipurilor de...
Peste 100 de videoclipuri cu atacuri ale șerpilor velenoși dezvăluie trei tipuri diferite de comportament agresiv, unele specii mușcând de mai multe ori pentru...
Furtuna tropicală Melissa amenință zonele din Caraibe predispuse la inundații 0...
Furtuna tropicală Melissa, care s-a format recent, traversează Caraibele centrale, aducând cu ea perspective de precipitații masive și inundații periculoase pentru numeroase insule. Deși...




























