Fujitsu identifică venele din palmă cu un senzor mult mai mic...
Japonezii de la Fujitsu tocmai au anunțat lansarea unui nou senzor biometric de identificare a venelor din palmă. Senzorul este cel mai mic de acest tip, dar tocmai a devenit și mai rapid și precis, cu acuratețea de 0,01% răspunsuri fals negative și 0.00008% răspunsuri fals pozitive.
Cum influențează bacteriile intestinale cogniția prin intermediul nervului vag 5 (1)
Războiul minții și fabricarea nebuniei (VIDEO) 0 (0)
Vreme de zeci de ani, Armata Statelor Unite a derulat experimente pe oameni, testând pe soldați voluntari efectele armelor chimice în cadrul unității militare Edgewood Arsenal, din Chesapeake Bay. Experimentele au început înaintea celui de-al Doilea Război Mondial, concentrându-se asupra iperitei (cunoscută și sub denumirea de gaz-muștar); după război, atenția s-a mutat asupra sarinului și, mai târziu, către substanțele psihoactive.
Suturile vaselor de sânge vor fi înlocuite de ”gel” și ”lipici”...
Un nou gel termosensibil și un bio-adeziv fac posibilă reconectarea vaselor de sânge rupte fără a mai fi necesară penetrarea lor cu acul și ața. Invenția este un pas important în sfera chirurgiei cardiovasculare, deoarece reprezintă cea mai mare schimbare pe teritoriul suturării vaselor de sânge din ultima sută de ani, sunt de părere specialiștii Centrului Medical Universitar Stanford, din Palo Alto, California.
Savanții au decupat HIV-ul din celule cu CRISPR/Cas9 5 (1)
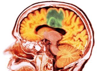
Rata de Supraviețuire în Cancerele Avansate ale Creierului se Dublează cu...
Tratamentul minim invaziv prin ablație se dovedește eficient în stadiile incipiente...
Ketamina și simptomele depresiei 4 (1)
Epidemia tinerilor narcisiști 0 (0)
Un psiholog de la Universitatea San Diego trage semnalul de alarmă: un adolescent din trei suferă de narcisism. Cauzele? Cultul imaginii și internetul.




























